Risponde la dr.ssa Chiara Zocchi, che lavora con il dott. Maurizio Pieroni, responsabile dell’ambulatorio cardiomiopatie e malattie cardiache rare dell’ospedale di San Donato di Arezzo e Presidente del Comitato Scientifico di AICARM APS
Perché viene prescritta la Risonanza magnetica cardiaca (d’ora in poi Rmn), come si svolge e a cosa serve: sono queste solo alcune delle domande a cui risponde la Dr.ssa Chiara Zocchi, che lavora con il Dr. Maurizio Pieroni, responsabile dell’ambulatorio cardiomiopatie e malattie cardiache rare dell’ospedale di San Donato. E’ un decalogo molto utile per il paziente a cui viene chiesto di sottoporsi a questo esame, perché chiarisce il senso e la sua dinamica punto per punto.

Macchina per RMN
Anzitutto quali informazioni può fornire l’Rmn per dare certezze sulla sospetta cardiomiopatia? L’esame può migliorare la visualizzazione del cuore quando per particolari problematiche sia difficile eseguire un ecocardiogramma. Ma rispetto a quest’ultimo offre preziose informazioni in più sui volumi e sulla funzione ventricolare sinistra e destra in particolare, non facilmente analizzabile con l’eco. Si tratta dunque di uno strumento diagnostico prezioso per precisare e valutare l’evoluzione del tipo di cardiomiopatia con cui si ha a che fare, e di conseguenza è utile per mettere a punto una terapia specifica. In particolare poi è fondamentale per valutare e consigliare l’eventuale impianto di un defibrillatore.
L’esame si svolge così. Il paziente viene messo all’interno di un tubo che contiene il magnete necessario per lo studio del cuore, per un tempo che varia da 30 minuti a un’ora. E’ un’indagine assolutamente sicura e non dolorosa, ma per tutto il periodo bisogna stare vigili e attenti perché il personale incaricato impartisce istruzioni su quando e per quanto tempo trattenere il respiro. Questo metodo consente di ottenere immagini ad altissima definizione. Sul torace del paziente vengono applicati elettrodi per monitorare il battito cardiaco e sulle orecchie cuffie per non sentire i rumori generati dal magnete. Viene somministrato anche un mezzo di contrasto, non consigliabile in caso di importante insufficienza renale, mentre in caso di potenziale o accertata allergia, nei giorni che precedono l’esame, viene somministrata una specifica preparazione antiallergica.
Esistono anche controindicazioni all’effettuazione della Rmn, assolute e relative, che vengono analizzate e esposte minuziosamente nella quarta risposta.
Ogni paziente ed ogni caso infine vanno valutati singolarmente, ma in genere la Rmn viene ripetuta in un periodo che va dai due ai cinque anni. L’intervallo di tempo naturalmente può variare a seconda della severità della malattia o per la necessità di valutare la risposta ad una determinata terapia.
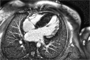
In che cosa consiste la Risonanza Magnetica Cardiaca? Come si svolge l’esame?

Immagine di RMN cardiaca
La Risonanza Magnetica Cardiaca (RMN) è un’indagine che utilizza un campo magnetico centrato sullo studio del cuore. Per alcune specifiche patologie cardiache la RMN è un esame fondamentale perché permette di acquisire immagini estremamente accurate e dettagliate sulle caratteristiche morfologiche e tissutali del cuore, fondamentali per precisare la diagnosi. Durante l’esame il paziente viene posizionato all’interno di un tubo, che contiene il magnete per un tempo variabile (da 30 minuti a 1 ora). E’ un esame con elevato profilo di sicurezza e non doloroso, ma occorre restare attivi. Attraverso appositi microfoni ed altoparlanti, il paziente è in comunicazione con il personale dedicato che impartirà ordini semplici come trattenere il respiro per un brevissimo periodo (solitamente 9-20 secondi) al fine di ottenere immagini ad alta definizione e prive di artefatti da movimento. Sul torace vengono applicati elettrodi per il monitoraggio del battito cardiaco e cuffie per isolare il paziente dai forti rumori generati dal magnete.
Perché viene somministrato il mezzo di contrasto?
Il mezzo di contrasto è un fluido, una sostanza paramagnetica che viene iniettata per via endovenosa (nelle vene del braccio, di solito). L’iniezione non è dolorosa e in alcuni casi può provocare una sensazione di calore che dal braccio si può estendere alla gola, testa, addome e gambe, di breve durata e a scomparsa rapida (30-40 secondi). Prima di somministrare il mezzo di contrasto, sono richiesti esami del sangue come la “creatininemia”, che serve a valutare la funzione renale. I pazienti con importante insufficienza renale (stimata mediante la creatininemia ed il calcolo del GFR), non dovrebbero ricevere il mezzo di contrasto se non in casi eccezionali, per evitare un peggioramento della disfunzione renale. Nel caso di potenziale o accertata allergia, viene prescritta una preparazione antiallergica da assumere nei giorni precedenti all’esame.
La RMN con mezzo di contrasto è fondamentale per capire se il muscolo cardiaco è ancora integro. Il mezzo di contrasto si accumula infatti nei tessuti danneggiati del cuore e permette quindi di riconoscere, dopo circa 10 minuti dalla sua somministrazione, zone cicatriziali (fibrosi), aree infiammate o infiltrate da altre sostanze dannose. La RMN cardiaca è l’unico esame che consente di visualizzare la presenza e stimare la quantità della fibrosi miocardica e della infiammazione del miocardio (miocardite).
Cosa sono il T1 ed il T2 mapping? A cosa servono?
Il T1 e T2 mapping sono tecniche specifiche di RMN, che migliorano la caratterizzazione del tessuto e forniscono informazioni più fini e specifiche sulla composizione del tessuto cardiaco stesso. Permettono di ricostruire mappe che per convenzione e praticità vengono trasformate in numeri e colori in tutti i segmenti del cuore. Se all’interno del cuore fossero presenti cicatrici fibrose, accumuli di grasso, ferro, o tessuto infiammatorio, sarebbero visualizzati con alterazioni del colore a seconda della patologia e della sua diffusione. Generalmente, il T1 mapping serve per identificare aree focali o diffuse di fibrosi, infiltrazione di grasso o accumulo di ferro, mentre il T2 mapping è capace di individuare più finemente le aree focali o diffuse di infiammazione cardiaca (edema).
E’ importante sapere se il T1 e T2 mapping sono disponibili e vengono utilizzati nel centro di RMN al momento della prenotazione.
Quali sono le controindicazioni alla Risonanza Magnetica Cardiaca?
E’ importante ricordare che campi magnetici prodotti dai macchinari possono interagire con gli oggetti metallici, che possono spostarsi o surriscaldarsi fino all’ustione.
Le controindicazioni a svolgere lo studio di RMN cardiaca sono di tre tipi:
- assolute (con tali controindicazioni non è possibile neanche entrare nella stanza dove c’è il tubo con i magneti),
- relative e
- condizioni potenzialmente limitanti l’esame.
Le controindicazioni assolute sono:
1) presenza di pace-maker, defibrillatori o elettrocateteri non compatibili (solitamente impiantati prima del 2010);
2) presenza di corpi metallici ferromagnetici come viti o chiodi inseriti dopo un trauma o un intervento ortopedico. Inoltre è importante informarsi anche sulle attività lavorative precedenti o attuale. Ad esempio metalmeccanici, fresatori, carrozzieri potrebbero avere piccole schegge finite sotto la pelle;
3) primi tre mesi post impianto di pace-maker/defibrillatori anche se RMN compatibili.
Le controindicazioni relative sono:
1) una importante “claustrofobia” cioè l’impossibilità di restare chiusi in un luogo. Questa potrebbe non consentire l’esecuzione dell’esame stesso e pertanto è importante allertare il personale medico al momento della prenotazione dell’esame; in alcuni casi può essere risolta con terapie specifiche da intraprendere settimane prima dell’esame
2) grave obesità. Il limite in peso dipende dalla strumentazione pertanto va comunicato al momento della prenotazione dell’esame
3) la gravidanza non costituisce una controindicazione assoluta, tuttavia vista l’assenza di studi sugli effetti della RMN sul feto, è sconsigliato l’utilizzo del mezzo di contrasto in gravidanza per evitare possibili effetti avversi sul feto. Quindi è meglio posticipare l’esame a dopo il parto, a meno che non si ritenga l’esame assolutamente necessario.
Le controindicazioni potenzialmente limitanti la qualità dell’esame: la presenza di un loop recorder sottocutaneo, di estesi tatuaggi in zona pettorale (specialmente quelli contenenti pigmenti industriali a base di metalli) ed anche di protesi dentarie fisse, perché possono creare artefatti che riducono la qualità dell’esame.
Ho un pacemaker o un defibrillatore posso eseguire la Risonanza Magnetica Cardiaca?
Può essere eseguito anche da soggetti portatori di defibrillatori o pacemaker purchè ogni elemento del dispositivo sia RMN compatibile (RMN conditional, come la maggior parte dei dispositivi impiantati dopo il 2010). A tal proposito, viene spesso richiesta una certificazione di compatibilità con la RMN, che di solito viene rilasciata al momento dell’impianto. E’ importante ricordarsi di avvisare il personale medico in sede di prenotazione dell’esame per garantire la presenza di un cardiologo che comunque dovrà programmare il dispositivo prima e dopo l’esame. Per questo motivo in alcuni centri può essere rifiutata.Nel caso di loop recorder è consigliabile effettuare la lettura dei dati registrati dal dispositivo per evitare che vengano persi dati non ancora trasmessi dal monitoraggio remoto.
Quali informazioni può fornire la RMN cardiaca nel paziente con diagnosi di cardiomiopatia?
La RMN può migliorare la visualizzazione delle strutture cardiache, ad esempio quando l’ecocardiogramma sia di difficile esecuzione (es. obesità o enfisema grave). Ma la RMN è fondamentale per precisare e valutare l’evoluzione del tipo di cardiomiopatia. In molte cardiomiopatie come ad esempio l’emocromatosi e l’amiloidosi cardiaca, fornisce anche informazioni sull’efficacia di terapie specifiche. La RMN può dare informazioni dettagliate sull’estensione della fibrosi miocardica, elemento che può essere importante per consigliare l’ eventuale impianto di defibrillatore. Infatti nei centri con maggiore esperienza, , è possibile stimare la percentuale di fibrosi rispetto alla massa cardiaca: se questa è superiore al 15% costituisce un elemento di rischio aggiuntivo per le aritmie ventricolari.
Quali informazioni può fornire la RMN cardiaca nel paziente con sospetta diagnosi di cardiomiopatia?
La RMN è la metodica di riferimento per la valutazione dei volumi, della funzione ventricolare sinistra, ma soprattutto destra, che non è facilmente analizzabile con l’ecocardiografia. Poi la RMN cardiaca è uno strumento diagnostico fondamentale che fornisce informazioni uniche sulla composizione del tessuto cardiaco e può consentire di precisare il tipo di cardiomiopatia e di iniziare una terapia specifica
Ogni quanto va ripetuta la Risonanza Magnetica Cardiaca ed in quali casi?
Ogni caso va valutato singolarmente e discusso con il proprio cardiologo di riferimento. Solitamente ogni 2-5 anni, ma può variare a seconda della severità e dall’andamento della Cardiomiopatia. In casi specifici come amiloidosi cardiaca, malattia di Anderson-Fabry, sarcoidosi cardiaca, cardiomiopatie infiammatorie ed emocromatosi con coinvolgimento cardiaco, la ripetizione della RMN può permettere di valutare la risposta alla terapia.
La Risonanza Magnetica Cardiaca può essere eseguita in sedazione? Esistono macchine aperte per Risonanza Magnetica Cardiaca?
La sedazione cosciente può inficiare gravemente la qualità dell’esame, perché non consente di eseguire alcune parti dell’esame che richiedono di trattenere il respiro. In casi selezionati come ad esempio bambini non collaboranti di età inferiore a 8 anni, può essere eseguita in anestesia generale per evitare artefatti da movimento.
Per i pazienti affetti da grave claustrofobia o grave obesità, ad oggi sono pochissimi i centri che hanno macchine dedicate (“RMN aperte per RMN cardiaca”).
La Risonanza Magnetica Cardiaca può essere eseguita in qualunque centro?
La RMN è un esame che richiede l’utilizzo di apparecchiature moderne e personale specializzato. Pertanto, l’esame dovrebbe essere eseguito in centri che dispongono di queste risorse e hanno soprattutto grande esperienza nell’interpretazione dei risultati. Secondo un recente documento di consenso, la Società Europea di Cardiologia consiglia di eseguire la RMN solo in centri nei quali c’è una stretta collaborazione tra radiologi e cardiologi specializzati nella valutazione di cardiomiopatie, in modo da ottenere informazioni precise e fondamentali per la gestione del paziente.









